Comprehensive Services
Diagnostic
Comprehensive and checkup exams, Digital radiographs, Oral cancer screening.
We offer comprehensive diagnostic services designed to identify and address a wide range of oral health issues. Utilizing state-of-the-art technology, such as digital X-rays, intraoral cameras, and comprehensive oral screenings, we thoroughly evaluate the
health of your teeth, gums, and surrounding structures. Early detection is key to preventing serious dental issues, and our diagnostic tools help identify cavities, infections, gum disease, and other conditions.

Implants
Dental implants are titanium posts that are securely placed into the jawbone, acting as strong foundations for replacement teeth. Unlike dentures, implants provide stability and function just like your natural teeth, allowing you to eat, speak, and smile with confidence. Benefits of Dental Implants:
- Durable and long-lasting
- Look, feel, and function like natural teeth
- Prevent bone loss and preserve facial structure
- Comfortable and secure fit
- Easy to maintain with regular brushing and flossing

Dentures
If you’re missing multiple teeth, dentures can be an effective and affordable way to restore your smile and improve your quality of life. Dentures are removable prosthetic devices that replace missing teeth and surrounding tissue. Whether you need full dentures (for all missing teeth) or partial dentures (for a few missing teeth), our skilled team will work with you to create a solution tailored to your specific needs.

Preventative
Cleanings, Deep cleanings, Arestin Treatment, Fluoride, Sealants.
We focus on proactive care to help you maintain optimal oral health and prevent future dental issues. Our comprehensive preventative services include routine cleanings, deep cleanings, fluoride treatments, and sealants, all designed to protect your teeth and gums. By detecting problems early and providing the necessary care, we aim to minimize the need for more extensive treatments down the road. We also educate our patients on proper oral hygiene practices, empowering you to take control of your dental health for a lifetime of strong, healthy smiles.
Additionally, our Arestin treatment is an innovative solution designed to combat periodontal disease effectively. Arestin is an antibiotic therapy that helps to target and eliminate bacteria responsible for gum infections, promoting healing and supporting overall gum health.
Nightguard
A night guard is a dental appliance made from durable materials that is designed to fit snugly over your upper or lower teeth. It acts as a protective barrier, preventing your teeth from grinding against each other and reducing the risk of damage, wear, and tear. By wearing a night guard, you can safeguard your teeth against wear, chips, fractures and improve sleep quality.


Restorative
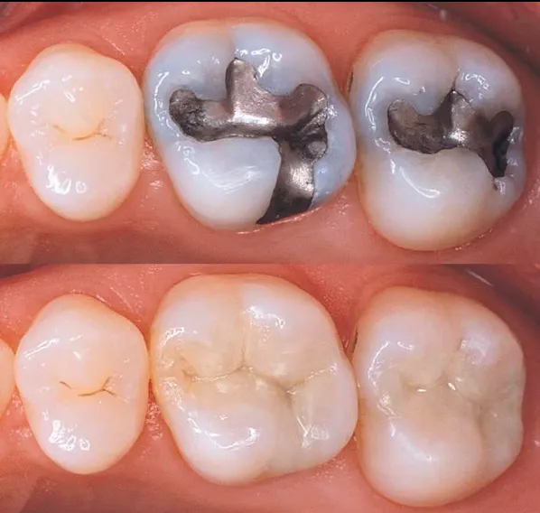
Fillings
Fillings are used to treat cavities or repair minor tooth damage. Our durable, tooth colored fillings blend seamlessly with your natural teeth, providing both strength and an aesthetic finish. Whether you have a small cavity or minor wear and tear, our fillings will help restore your tooth to its full function and appearance.
Inlays/Onlays
Crowns
Bridges
For more extensive damage, dental crowns may be the ideal solution. A crown is a custom-made cap that covers and strengthens a damaged or weakened tooth, restoring its shape, size, and function. Crowns are perfect for protecting teeth with large fillings, fractures, or following root canal treatment. We use state-of-the-art materials to ensure your crown looks natural and provides long-lasting protection.
Dental bridges are an effective solution for replacing one or more missing teeth. By anchoring the bridge to adjacent teeth or dental implants, we can fill the gap, allowing you to regain your ability to chew and speak comfortably.


Cosmetic
Porcelain Veneers and crowns
Porcelain veneers and crowns are cosmetic solutions designed to enhance your smile’s appearance while restoring function and confidence. Whether you’re looking to correct imperfections or restore damaged teeth, our porcelain options provide a durable, natural-looking finish.
Cosmetic Bonding
Bonding offers a quick, affordable way to improve the look of your teeth. Whether you have small chips, gaps, or discoloration, dental bonding can help you achieve a more confident and natural-looking smile with minimal effort utilizing a tooth colored durable resin.
Whitening
Our in-office teeth whitening treatment utilizes a professional-grade whitening gel that is applied to your teeth. We typically use a specialized light or laser to enhance the whitening effect, allowing you to see results in as little as one visit. The entire procedure usually takes about 60 to 90 minutes, and you can achieve several shades of whiteness in just one session.


Emergency
Root canals
We provide pain-free root canal therapy to save damaged or infected teeth. Root canals are a common and effective treatment to eliminate infection and prevent the need for tooth extraction. During the procedure, we remove the infected pulp tissue, clean and disinfect the inner chambers of the tooth, and seal it to prevent further damage. Thanks to modern techniques and advanced technology, root canal treatments are more comfortable and efficient than ever before. Many patients find the procedure to be no more uncomfortable than getting a standard filling.
Extractions
We understand that the thought of a tooth extraction can be intimidating, but our team is here to provide safe and gentle extractions when necessary. Tooth extractions may be necessary for several reasons, including severe decay, advanced gum disease, impacted wisdom teeth, or overcrowding in preparation for orthodontic treatment. After the extraction, we will work with you on a recovery plan and discuss tooth replacement options.


| Mon | 09:00 am – 06:00 pm |
| Tue | 09:00 am – 06:00 pm |
| Wed | 09:00 am – 06:00 pm |
| Thur | 09:00 am – 06:00 pm |
| Fri | 09:00 am – 06:00 pm |
| Sat | 09:00 am – 06:00 pm |
| Sun | CLOSED |

